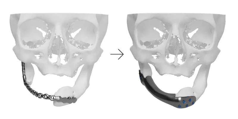
A female patient about sixty years old underwent a mandible tumor resection with immediate reconstruction using a standard osteosynthesis plate. After that surgery, the patient required revision surgery due to postoperative complications and the plate needed to be removed.
The mandibular defect required a reconstruction with a personalized implant that would preserve the appearance of the patient’s face and rebuild the missing bone.

Started with the patient’s image data, our engineers created a virtual 3D model of the current patient’s jaw anatomy. The model showed that more than ¼ of the mandible was missing. Considering the patient’s age and postoperatively complications with the standard plate, the surgeon decided to reconstruct mandible using a patient-specific titanium implant. Our engineers designed the custom implant to recreate the shape of the jaw and reduced its weight by designing a mesh interior. This special mesh structure had also improved osseointegration with adjacent bone tissue. Unfortunately, the patient’s jaw was partially damaged after the standard plate mounting screws. Therefore, the implant fixation holes had to be carefully planned.
To fully transfer the preoperative plan to OR, we designed the surgical (drilling) guides. These guides fitted exactly on a predetermined part of the patient’s jaw and allowed to drill holes for implant fixation under the right place and angle. We prepared also the anatomical models of the mandible before and after the reconstruction to help the surgeons in preoperative preparations.
The Customy RecoBox contained the patient-specific mesh implant made of titanium alloy Ti6Al4V, 2 surgical drilling guides made from a biocompatible and sterilizable material and 2 anatomical models of the patient’s mandible. During the surgery, the team of surgeons removed the osteosynthesis plate and exposed the bone where drilling guides needed to be positioned. After positioning the drilling guides, the holes for implant fixation were made. Then the patient-specific implant was fixed to the mandible’s parts with titanium screws. Thanks to precise preoperative planning, no additional bone resection was necessary.
A virtual surgery planning allows surgeons to obtain very good final functional and aesthetic results only when it can be translated to OR. By using the surgical drilling guides, the surgeon could precisely conduct the procedure as it was planned before. The patient-specific implant helped the patient to regain the ability to move the jaw. In this case, there was no possibility to fully restore the symmetry of the patient’s mandibular because of the damaged soft tissue. The visual effects and short term results were good and the patient was satisfied.